A Empresa

A Primety é uma respeitada empresa de Tecnologia, com mais de 20 anos de experiência no desenvolvimento de software, sempre inovando criando soluções seguras e eficientes.

saiba mais

DENTAL BOX

Guarde de forma segura e simples as informações de seus pacientes, e acesse de onde quiser.

Acesse onde estiver

Você pode acessar informações e imagens do check-up de seu paciente de qualquer dispositivo (notebook, desktop, celular e tablet) em qualquer lugar, a qualquer hora.

Ajuda e suporte 24h

Equipe treinada para atendimento via Chat, telefone, whatsap ou e-mail .

DENTAL BOX

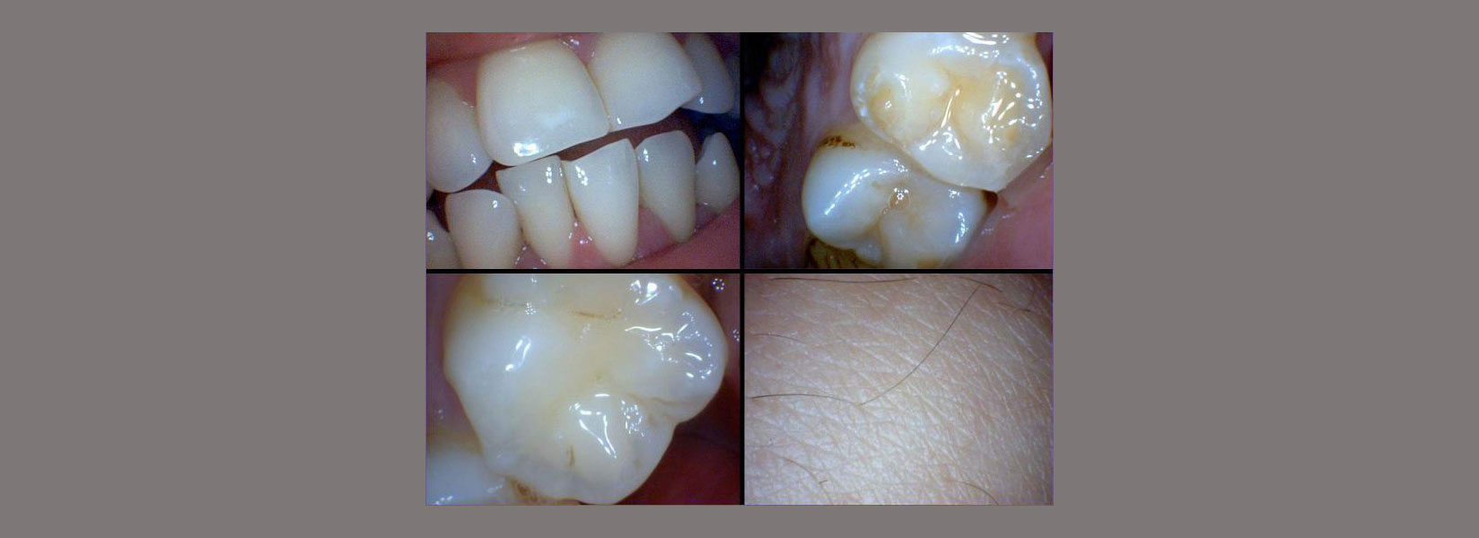
Camera Intraoral

Entre em contato

Check -up Digital

O jeito inteligente de fazer!

Envie sua mensagem, será um prazer atende-lo.



Escritório: Av. das Nações Unidas, 12.552 17o. São Paulo, SP

Email: contato@dentalcheckup.com.br